"Oksigen Klinik xəstəxanası" haqqında məlumat
1 yanvar 2009-cu il tarixində fəaliyyətə başlamış və 04.10.2012-ci il tarixində Azərbaycan Respublikasının Səhiyyə Nazirliyinin 026212 saylı lisenziyasını almış Oksigen Klinik Xəstəxanası,tibb elminin standartlarına cavab verən yeni texnologiyaların,peşəkar və dinamikpersonalın birləşdiyi böyük bir tibb ocağıdır.Oksigen klinik xəstəxanası 27fevral 2014-cü ildə, beynəlxalq standart olan İSO 9001:2008 müalicə və diaqnostika tibb xidmətləri sertifikatını almışdır. Klinikamız gənc olmasına baxmayraq,ölkəmiz və ölkəmizdən kənarda,tibb xidmətləri sektorunda özünə məxsus yer tutur.Son dövrün müştəri məmnuniyyətini müşahidə etdikdə Oksigen klinik xəstəxanasının bir brend kimiformalaşdığı və xüsusi korporativ imic qazandığını söyləməliyik.Klinikamız müştəri məmnuniyyətinə çox həssas yanaşdığı üçün qiymətlərimiz bütün sosial təbəqələrə əlverişlidir,həmçinin daima güzəştlər və himayədarlıq tədbirləri reallaşdırmaqdayıq.
Klinikamız Bakı şəhərinin ən gözəl güşələrindənbiri olan N.Nərimanov metro stansiyasınınyaxınlığında N.Nərimanovadına istirahət parkı ilə üzbəüz yerləşir.7 mərtəbədən ibarət olan binamız şəhərsalmanın son prinsipləri nəzərə alınmaqla tikilmiş və şəhərimizə xüsusi gözəllikverən binalardan biridir.
Hər mərtəbəgeniş holl və dəhlizə malikdir.Xüsusi dizayna malik diaqnostik otaqlar,həkim kabinaları,işıqlı,geniş olmaqla bütün standartlara uyğundur.Palatalar xəstələrin sağlamlığının qısa müddətdəbərpası üçün bütün imkanlara malik olmaqla göz oxşayır.
Döşəmə və divarlar bütünlüklə tibb müəssələri üçün nəzərdə tutulmuş antibakterial materiallarla örtülmüşdür. Mərkəzləşdirilmiş qızdırıcı və sərinləşdirici qapalı havadəyişməsistemi qurulmuşdur.Əməliyyat və reanimasiya şöbəsindəki-hepofiltrlər sayəsində ideal aseptik şərait yaradılır.
Klinikamız stasionar və poliklinika şöbələrindən ibarətdir.
Birinci mərtəbədə-xəstələrin rahat qəbulu üçün geniş hol,resepşn,bütün növ laborator analizlərin aparılması üçün lazım olan analizatotlara malik laboratoriya şöbəsi,analizlərin qəbulu,qan götürmə otağı,çamaşırxana,təciliyardım şöbəsi,litotripsiya,diaqnostik kabinalar—Kompyuter tomoqrafiya,maqnit rezonans tomoqrafiya, rəqəmsal rentgen,USM yerləşir.
Ikinci mərtəbədə- Ginekoloji,Uroloji,xüsusi rentgen aparatı və müasir avadanlıqla təchiz olunmuş stomatoloji kabina,Cərrah otağı,peyvənd otağı,kolonoskopiya,qastroskopiyavə terapevt otaqları yerləşir.Vəhər bir otaq son texnoloji müayinə və müasir müalicə cihazları ilə təhciz olunmuşdur.
Üçüncü mərtəbədə- Bu mərtəbədə əsasən diaqnostik otaqlar,funksional- kardioloji,EKQ, rəngli dopleo -exokardioqrafiya,fiziki yük(tredmil sınağı),EKQ(holter) ürək fəaliyyətinin fasiləsiz monitirinqi,qan təzyiqi və nəbzin 24 saat ərzində fasiləsiz manitorinqi aparılan otaqlar yerləşir.
"Oftalmologiya"gözə özəl son texnoloji müayinə və müalicə cihazları ilə xidmət,müasir cihazlarla təchiz olunmuş otoloriqoloji,kardioloji,Travmatoloji,endokrinoloji,damar cərrahiyyəsi otaqları yerləşir.Müasir müalicə apratları ilə təchiz əzələ,sümük oynaq xəstəlikləri müalicə edilir.
Dördüncü mərtəbə- doğum şöbəsindən ibarətdir.Palatalar 1-2 nəfərlik olmaqla bütün nəzarətvə intensiv müalicə qurğuları ilə təchiz edilmişdir. Hər bir palata duş kabinaları,sputnik televiziya,kondisioner,telefon,WI-FI, növbətçi tibb bacısının və həkimin çağırışı üçün xüsusi pultlarla təmin edilib.
Ana şöbəyə daxil olduqda ilk növbədə "DATEX OHMEDA" kardiotokografiya (KTG) apparatı ilə dölün bətndaxili ürək döyüntüsü təyin edilir. Dölün ürək döyüntüləri uşaqlıq əzələsinin yıgılmaları,dölün hərəkətindən və eyni zamanda qıcıqların təsirindən aslıdır. Müəyyən edilmişdirki, dölün hipoksiyası zamanı da ürək fəaliyyətidəyişilir.
Yüksək səviyyədə avadanlıqlarla təchiz olmuş Neonotoloji bölümdə müasir standartlara cavab verən aparatlar mövcuddur."GİRAFFE" inkubatorları yenidoğulmuşların reanimasiyasında işlənilir. Yuxarı hissəsi mobil olduğuna görə prosedurların keçirilməsi asanlaşır. Adi inkubatorlardan fərqli olaraq uşağın həm çəkisini, həm temperaturunu inkubatordan çıxarmadan ölçmək olar. Bütün inkubatorlar "DATEX OHMEDA" monitorları ilə təchiz olunub. Belə ki, reanimasiyada müalicə alan yenidoğulmuşların ürək-damar, tənəffüs, termorequlyasiya və başqa göstəricilər 24 saat bu monitorlarla izlənilir. "BİLİSOFT" fototerapiya apparatı vaxtında və vaxtından əvvəl doğulmuş uşaqlarda hiperbiliribunemiyaların müalicəsi zamanı istifadə olunur. Stasionar tipli fototerapiyadan fərqli olaraq, "BİLİSOFT" ev şəraitində və uşağı anadan ayırmadan istifadə edilə bilər.Stasionar tipli fototerapiya küvezlərdə müalicə alan uşaqlar üçün nəzərdə tutulub. "ENQSTOM CARESTATİON" süni tənəffüs apparatı PC; SİMV; CPAP və digər rejimlərdə vaxtından əvvəl doğulmuş və ağır tənəffüs çatmamazlığı olan uşaqlarda uğurla istifadə edilir
Beşinci mərtəbə stasionar şöbəsindən ibarətdir. Palatalar 1 və 2 nəfərlik olmaqla bütün nəzarət və intensiv müalicə qurğuları ilə təchiz edilmişdir;Hər bir palata duş kabinələri,sputnik televiziya,kondisioner,telefon,növbətçi tibb bacısının və həkimin çağırışı üçün xüsusi pultlarla təmin edilib.Belə ki, bütün müalicə müddətində xəstənin ürək-damar sisteminin fəaliyyəti (arterial təzyiq,nəbz) və tənəffüs sisteminin fəaliyyəti (qanın oksigenlə tachizatı) daimi nəzarətdə saxlanılır.
Altıncı mərtəbədə əməliyyatxana və reanimasiya yerləşir.Burada əməliyyat bloku son model aparatlarla təchiz olunmuşdur. Əməliyyatxana 5 əməliyyat blokundan ibarətdir. Əməliyyatxana endoskopik tibbi avadanlıqla təchiz olunmuşdur. Endoskopik tibbi avadanlıqlar istehsal sahəsində dünya lideri sayılan "KARlSTORZ" firmasına məxsus aparatlarla təchiz olunmuşdur. "CE medical Systems" Almaniya istehsalı olan Datex Ohmeda markalı "Kardioserv" defibrilayatorlar 3 ədəd "Datex Ohmeda Centivo-5" tipli kardiomonitorları 2 ədəd "Datex Ohmeda Centivo-5" tipli narkoz aparatları,3 ədəd "Perfuzor-Litva-Vilmus" istehsalı olan,2 ədəd Koreya istehsalı olan Medifusion aparatları ilə təmin olunmuşdur.Centivo-5 tipli monitorların köməyi ilə xəstənin A/T, nəbzi oksigenin miqdarı,EKQ monitorinqi, sinir-əzələ keçiriciliyi əməliyyatın gedişi boyu daim nəzarətdə saxlanılır. Əməliyyatdan sonra xəstələr 9 çarpayılıq,tam müasir tələblərə uyğun aparatlarla təmin olunmuş reanimasiya şöbəsinə köçürülür.Burada ən son model "Dotex Ohmeda Certivo-5" tipli süni tənəffüs aparatı durur.Bu aparatın digər aparatlardan fərqi ondadır ki,5 rejimdə işləyə bilir. (CMV,Simv,cpap,Bilevel /ASB,ASB/Arnea)Bu aparatın köməkçi funksiya daşıyan rejimləri var:

- NIV
- ARC
- APD
- ASR
- CMV (idarəolunan məcburi ventilyasiya)
- SİMV /ASB (fasiləli sinxronlaşdırılmış məcburi ventilyasiya)
- Cpap (tənəffüs yollarında fasiləsiz müsbət təzyiq)
- ASB/Apnea (asfinksiyalar zamanı köməkçi tənəffüs)
Köməkçi rejimlər;
- NİV-qeyri invaziv ventilyasiya
- ARC-tənəffüs traktına müqavimətin kompensasiyası
- ASK-tənəffüs yollarının avtomatik sorulma proqramı
Bundan əlavə reanimasiya "CardioServ" tipli defibrilyar var. Üstün cəhətləri; əlavə olaraq kardio versiya funksiyası, standart aparatlarla daxili və xarici defibrilyasiya mümkündür.
Tibbdə Son Texnologiya! Son Yenilik !
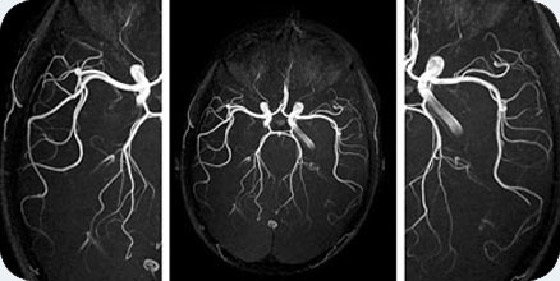
Maqnit Rezonans Tomoqrafiyası Oksigen klinik xəstəxanasında
Oksigen Klinik xəstəxanasında fəaliyyət göstərən 1,5 Tesla Brivo MR 355 markalı General Electric firmasına məxsus olub, özündə 1,5 Tesla maqnit sahəsi, diametri 70 santimetr olan geniş tunel və Tim texnologiyası (tam vizual matrisa) birləşdirir. Tim texnologiyası əməyin təşkilini sadələşdirir, xəstələrə xidmətin səmərəliliyini artırır. Bu təsvirin yüksək keyfiyyətini, xəstə üçün hər cür rahatlığı təmin edir, diaqnostikaya geniş imkanlar açır. Bundan əlavə, sistemin belə konstruksiyası həm dolu bədənli, həm də klaustrofobiyadan əziyyət çəkən(qapalı yerdən qorxan) xəstələrin diaqnostikasını asanlaşdırır. Sistemin tunelinin diametrinin 70 santimetr olması klaustrofobik reaksiyaların inkişafı riskini xeyli azaldır. Bundan əlavə, tunelin diametrinin böyüməsi elə xəstələri müayinə etməyə imkan verir ki, belə xəstələrdə, məsələn, aşkar kifozdan, hərəkətməhdudiyyətlərindən, lokal ağrılardan əziyyət çəkənlərdə, uşaqlarda və dolu bədənli xəstələrdə müasir tələblərə cavab verməyən MR-tomoqrafların köməyi ilə skanlama aparmaq mümkün deyildir. 1,5 Tesla sahəsinin gərginliyi və geniş tunel texnologiyası həyat təminatı qurğularına qoşulmuş xəstələri, intensiv terapiya bölmələrinin xəstələrini və üzərində intraəməliyyat prosedurları aparılacaq xəstələri müayinə etməyə imkan verir. 1,5 Tesla Brivo MR 355 sistemi ağır xəstəliklər və "problemli" xəstələr üzərində çox tez və etibarlı tədqiqatlar aparmağa şərait yaradır ki, bu müalicənindüzgün seçilməsini asanlaşdırır.


Maqnit-rezonans tomoqrafiyanın üstünlükləri:
- İnanılmaz dərəcədə yüksək diaqnostik effektivlik,
- KT və rentgen diaqnostikadan fərqli olaraq rentgen şülanmasından istifadə olunmur, bu isə xəstənin şüalanması kimi yan təsirlərin olmamasını təmin edir,
- MRT zamanı hətta ölçüsü bir neçə millimetr olan obyektin təsvirini görmək olur, istənilən proyeksiyada təsvir əldə olunur,
- Bütün toxuma və orqanların vizualizasiyasının mümkünlüyü, MRT baş beyin və onurğa beyni, qaraciyər, mədəaltı vəzi, böyrəküstü vəzilər, kiçik çanaq orqanları və s. üzvlərin istənilən patologiyasını vaxtında aşkar etməyə imkan verir
- MRT vasitəsilə heç bir kontrast maddədən istifadə etmədən damarların və öd yollarının vizualizasiyasını almaq mümkündür
- MRXP (maqnit-rezonans pankreatoxolangioqrafiya) kontrast maddə olmadan öd yollarının və mədəaltı vəzi axarının 3 ölçülü təsviri,
- Magistral arteriyaların MR-angioqrafiyası -əlavə kontrastlaşdırma aparılmadan damarların təsviri,
Oksigen Klinikasında MRT vasitəsilə aparılan müayinələr:
- Baş beyin MRT
- Hipofiz MRT
- Baş beyin damarlarının MR-angioqrafiyası (kontrast maddə olmadan)
- Boyun damarlarının MR-angioqrafiyası (kontrast maddə olmadan)
- Orbital MRT
- Parnazal MRT
- Kəllə əsası MRT
- Boyun nahiyəsi MRT
- Onurğa sütununun və onurğa beyninin boyun nahiyəsinin MRT müayinəsi
- Onurğa sütununun və onurğa beyninin döş nahiyəsinin MRT müayinəsi
- Onurğa sütununun və onurğa beyninin bel nahiyəsinin MRT müayinəsi
- Bud-çanaq oynağı MRT
- Diz oynağı MRT
- Oma-qalça oynağı MRT
- Abdominal MRT
- Pelvik MRT
- Böyrəküstü vəzilər
- Maqnit-rezonans xolangioqrafiya (konrast maddə istifadə etmədən)
Pasiyentlərin nəzərinə:
- Müayinənin davam etmə müddəti 30-45 dəqiqə çəkir.
- Öncədən MRT müayinəyə hazırlıq aparılmır
- Göstəriş olduqda paramaqnit kontrast maddələrdən istifadə olunur. Əgər hər hansı bir paramaqnit kontrast maddəyə qarşı allergik reaksiyanız varsa tibb bacısına bu barədə məlumat verin.
- Azyaşlı uşaqlar medikamentoz sedasiya aparıldıqdan sonra müayinəyə götürülür.
- Müayinə zamanı tomoqraf maqnit sahələri generasiya edir. Buna görə də müayinədən öncə bütün metal əşyalar kənarlaşdırımalıdır(diş protezləri, eşitmə aparatları və s.). Ferromaqnit döymələr (tatuirovkalar), kosmetik makiyaj təsvirin keyfiyyətinə mənfi təsir göstərir. Həmçinin dəridə də qızartılarəmələgələ bilər.
- Əgər bədəninizdə kardiostimulyator, metal protezlər, damarlarda və ya daxili orqanlarda metal klipslər varsa bu barədə həkimə və ya tibb bacısına mütləq məlumat verin, çünki göstərilən predmetlər maqnit-rezonans tomoqrafiyanın aparılmasına əks göstərişdir.
- Hamiləliyin ilk 3 ayında MRT müayinədən keçmək məsləhət görülmür.
Müayinələr türkiyənin Ege universitetininradiodiaqnostika kafedrasında ixtisaslaşma keçmiş həkim-radioloqAydın Mirzəyev tərəfindən müassir standartlara uyğunaparılır.
MRT müayinəsindən keçmək üçün öncədən telefon vasitəsilə qəbula yazılmaq lazımdır.
Plazma Cision
Endoskopik üsul LOR-üzvlərini və onların patoloji dəyişikliyini bir neçə dəfə böyüdülmüş vəziyyətdə monitorda müşahidə etməyə imkan verir.
Klinikada geniş spektrli LOR - cərrahiyyə xidməti uğurla fəaliyyət göstərir. Plazma Cision usulla burun boşluğunda, burunətrafı ciblərdə, burun-udlaqda və səs tellərində icra olunan əməliyyatlar endoskopik üsulla aparılır. Bu üsul toxumalarla daha incə və az invaziv rəftar etməyə imkan verir. Bu da öz növbəsində xəstənin əməliyyatdan sonra ən qısa zamanda bərpa olmasına şərait yaradır.
Plazma Cision usulla:
- Daha düzgün cərrahi kontrol
- Daha incə və az invaziv rəftar
- Tam qansız ve Agrısız usuldur.
- Ən qısa zamanda bərpa olma
Plazma Cision üsulla Bipolyar koaqulyasiya hesabına ətraf toxumalar zədələnmədən əməliyyat həyata keçirilir.
Yenilik urologiya şöbəsində
Oksigen Klinikasinda geniş spektrli uroloj şöbə fəaliyyət göstərir. PlazmaKinetik üsulla Prostat adenomasi və sidik kisəsi poliplərinin müalicəsi kəsiksiz endoskopik üsulla aparılır. Bu üsul toxumalarla daha incə və az invaziv rəftar etməyə imkan verir. Bu da öz növbəsində xəstənin əməliyyatdan sonra ən qısa zamanda bərpa olmasına şərait yaradır.
PlazmaKinetik usulla:
- Daha düzgün cərrahi kontrol
- Daha incə və az invaziv rəftar
- Tam qansız və agrısız usuldur.
- Ən qısa zamanda bərpa olma
- Cinsi fəaliyyətə zərər dəymədən həyata keçir
PlazmaKinetik üsulla Bipolyar koaqulyasiya hesabına ətraf toxumalar zədələnmədən əməliyyat həyata keçirilir.
HUMAN PAPİLL0MA VİRUS
Hər il dünyada 160 milyondan çox qadının rəhm ağzında anormal hüceyrə dəyişiklikləri vardır.Bəzi hüceyrə dəyişiklikləri xərçəngin qabaqcılı ola bilər.
Dəyişikliklərə göbələk infeksiyaları və ya digər mikroorqanizmlər də səbəb ola bilərlər. Rəhm ağzı xərçəngi üzərinə edilən işlərə də,20 ilə 75 yaş arasındakı qadınların hər üç - beş ildə bir servikal smear testi etdirmələri təklif olunur.Buna baxmayaraq, hər il dünyada 450 mindən çox qadına rəhm ağızı xərçəngi diaqnozu qoyulmaqdadır.Əgər xəstəlik erkən diaqnoz və müalicə edilərsə,tam yaxşılaşma təmin edilir.
Rəhm ağzı xərçəngi nə bir virus səbəb olur İnsan papillomavirus"u(HPV)indiki vaxtda hüceyrə dəyişiklikləri və rəhm ağızı xərçəngi inkişafının ən əhəmiyyətli səbəbi olaraq qəbul edilməkdədir.
HPV in bir çox fərqli tipi vardır.Lakin yalnız az sayda HPV tipi hüceyrə dəyişikliklərinə səbəb ola bilər.Bu hüceyrə dəyişikliklərini mümkün olan ən erkən zamanda təsbit edə bilmək rəhm ağızı xərçəngi inkişafını önləmək üçün çox əhəmiyyətlidir.
HPV qadın və kişi normal mikrobioloji florasının bir hissəsidir.Rəhm ağzında HPV varlığı çox məşhur və əksəriyyətlə zərərsizdir.Virus cinsi yolla yayılır və bütün qadınların 80% -ni həyatları boyunca bir və ya daha çox HPV tipi ilə qarşılaşırlar. Hadisələrin böyük əksəriyyətində bədənin immunitet sistemi özbaşına virusu yox edər. Ancaq bəzi vəziyyyətlərdə HPV dəyişər və karsinojenik bir infeksiyaya gətirib çıxarır.Bu infeksiya,hüceyrələrdə rəhm ağzı xərçənginə irəliləyə biləcək dəyişikliklərə gətirib çıxaran, zərərli zülalların çıxarılmasına səbəb olar.Nucli SENS EasyQ HPV, bu zərərli zülalların istehsalını müəyyən edir.Əgər karsinojenik HPV infeksiyası davam edərsə isə,rəhm ağızı xərçəng inkişafı üçün yüksək risk vardır.
ALLERGİK PANEL
Bəzi allergik maddələrə qarşı insanlarda həssaslıq olur.Məsələn,öskürək,qaşınma,dəridə səpkilər,qızartı,göz yaşarmaları və burun axması kimi hallar olur.Bəzi hallarda allergiya reaksiyası anafilaktik şoka qədər gətirib çıxarır.Bu allergenlərin qısa müddətdən müəyyən edilməsi insanın həyat tərzini yaxşılaşdırır.
Bu həssaslığı müəyyənləşdirmək üçün Oksigen klinikasında Tənəffüs,Pediatrik və Qida panelləri həyata keçirilir.Qida panelində orqanizminizdə narahatlıq qaşıntı və başqa simptomlar yaradan ərzaq maddələri müəyyən olunur.
Pediatrik paneldə ərzaq maddələrində başqa həm də uşaqlarda diatez,qusma,burun axması və s.simptomlar yaradan maddələr aşkara çıxarılır.Tənəffüs paneli isə bitki tozcuqları,ev heyvanları və quşlarla təmasdan allergiya yaradan maddələrdən aşkara çıxarılması kimi müayinələri özündə cəmləşdirir.Bu testlərin köməyi ilə illərlə sizə narahat edən hisslərdən qurtulub,həyat səviyyənizi yüksəldə bilərsiniz. Oksigen klinikasında Tənəffüs panelində 26,Pediatrik paneldə 27,Qida panelində 31 allergiya törədən maddələrin aşkara çıxarılması,müayinəsi və müalicəsi həyata keçirilir.
NİFT TEST
Riskə girmədən prenatal (Doğum əvvəli)test etdirmə üstünlüyünə maliksiniz!
Ana namizədlərinə məktub
Əziz analığa namizədlər:
Qadının həyatında ən həyəcanlı dövrlərdən biri hamiləlik dövrüdür. Bu xoşbəxt bir hadisə olduğu kimi, özü ilə birgə müxtəlif məsuliyyətlər də gətirir.Bu məsuliyyətlərdən ən mühümü gələcək körpənizin sağlamlığına diqqət etməyinizdir.
Erkən hamiləlik müddətində trisomiyalar arasında ən çox görüləni 21 xromosomun trisomiyası-Daun sindromudur.Bu növ genetik xəstəliklərin qarşısını almaq üçün əksər hamilə qadınlarda genetik-diaqnoz testləri məsləhətlidir.Genetik-diaqnoz testləri əksər vaxt amniyotik mayedəki fetal hüceyrələrin testlərindən ibarət olan amniyosintez adlandırılan üsuldur.Lakin amniyosintez üsulu 1% nisbətində düşük ilə nəticələnə bilər.
QEYRİ İNVAZİV PRENATAL TESTİ-Yalnız qan testi üsulu ilə həyata keçirilən,amniyosintez qədər doğru olan və heç bir düşük riski daşımayan non- invaziv prenatal test üsuludur.
DOUN SİNDROMU NƏDİR?(TRİSOMİ 21)
Daun sindromu(21 xromosomun trisomiyası)
-xromosom cütündə bir xromosomun artıq olduğu genetik anomaliya növüdür.Belə uşaqlarda üz quruluşunda dəyişiklik və eyni zamanda fiziki əqli inkişafdan geri qalması müşahidə olunur. Bu sindrom ən çox rast gəlinən trisomi növüdür və hər 800 doğulan uşaqdan biri bu xəstəliyə tutulmaqdadır. Hal hazırda prenatal diaqnostikaların aparılması nəticəsində anadangəlmə Daun sindromu ilə doğulanların sayı azalaraq,1100 doğan qadına 1 xəstə uşaq təşkil edir.
Edvard sindromu həm də 18 xromosomun trisomiyası adlandırılır və ən çox rast gəlinən ikinci trisomi növüdür.Doğulan hər 5000 uşaqdan birində Edvard sindromu görünür.Bu sindrom zamanı ürək qüsurları,üz və kəllə sümüklərində anomaliyalar,həzm sistemində patologiyalar,ayaq və əllərdə deformasiyalar,böyrək problemləri,əqli inkişafdan geri qalma və s.müşahidə edilir.
Patau sindromu həm də 13 xromosomun trisomiyası olaraq adlandırılan üçüncü ən çox müşahidə edilən genetik anomaliya növüdür.Bu sindrom hər 10.000 doğulan uşaqdan birində müşahidə olunur.
13 xromosomun trisomiyası fiziki və zehni problemlər səbəbi ilə doğulan körpələrin ilk günlərində və ya ilk həftələrində itki ilə nəticələnir.
13 xromosomun trisomiyası olan körpələr ürək,beyin və onurğa beyin anomaliyaları,o cümlədən çox az inkişaf etmiş gözlər,əl və ayaq barmaqların artıq olması və az inkişaf etmiş əzələ kimi problemlərə malikdir.
NİFTY,Daun Sindromu və digər trisomiyaların müəyyən edildiyi,"BGI Europe"tərəfindən qorunan,təhlükəsiz və sadə bir prenatal testdir. Bu test ana bətnindəki uşağın öz DNT-sinin təhlili ilə həyata keçirilməkdədir.Bu test üçün vacib olan,hamiləliyin 12-24- cü həftələrində hamilə qadınlardan əldə olunan 10 ml qan nümunəsidir.Uşağın DNT -si təhlil olunaraq,uşağın xromosomlarına baxılır(Trisomi 21,Trisomi 18,Trisomi 13).
Kimlər test etdirməlidir?
Nifty (qeyri invaziv prenatal test)-indən birinci növbədə keçməli olan qadınlar qrupu:
1)13,18 və 21 xromosomların trisomiyasına aid müxtəlif növ genetik prenatalanalizləri vermək istəyən hamilə qadınlar
2)35 və 35 yaşından yuxarı yaş qrupuna aid olan,invaziv test (amniosintez)istəməyən qadınlar
3)Skrininq-test(ikili,üçlü,dördlü testlər)zamanı hamiləliyin birinci və ikinci yarısında xromosom xəstəliklərinin əmələ gəlmə ehtimalı yüksək olan hamilə qadınlar.
4)Hepatit B,Hepatit C,QİÇS həmçinin düşük risk qrupuna daxil olan hamilə qadınlar.
5)Süni mayalanmadan sonra müalicə aparılan hamilə qadınlar.
6)Hamiləliyin 12-24 həftələrində olan qadınlar.
NİFTY test, hamiləliyin 10-cu həftəsindən həyata keçirilməsinə baxmayaraq 12-ci həftəsində ana qanında fetal hüceyrələrin daha yüksək səviyyəyə çatması ilə əlaqədar 12 və 24-cü həftələri arasında həyata keçirilməsi tövsiyə olunur.
Genetika
Tibbi genetika laborator metodlardan istifadə edərək gen və xromosom mutasiyalarını aşkar edir,müalicə və profilaktik tədbirlər keçirərək,müvafiq gen qruplarını analiz və təhlil etməklə gələcəkdə baş verə biləcək bir çox xəstəliklərin qarşısını alır.
Hal-hazırda təqribən 2500-dən çox genetik analiz mövcudur.Bu analizlər
Sitogenetik
Molekulyar sitogenetik
Molekulyar genetik-metodlarlarla aparılır.
İnsanlar yaşadıqları illər ərzində ətraf mühitin müxtəlif zərərli təsirinə məruz qalırlar.Bu isə öz növbəsində yeni mutasiyaların yaranmasına və ya illərlə gizli qalan,nəsildən-nəsilə keçmiş irsi xəstəliklərin aşkara çıxmasına səbəb olur.Bu səbəbdən genetik məsləhətləşmə və genetik analizlər bütün yaş dövürlərində tətbir edilməlidir.Bir qrup insanlar risk qrupuna daxil olduqları üçün onlar profilaktika məqsədi ilə genetik laboratoriyaya müraciət etməlidirlər.
Nigaha hazırlaşan bütün gənclər və müəyyən genetik xəstəliklərin çox yayıldığı endemik zonada yaşayan şəxslər,hamilə qadınlar perinatal,prenatal və postnatal olmaqla bütün hamiləlik dövrlərində genetik məsləhətdən keçməlidirlər.
Genetik analizlər orqan transplantasiyası zamanı genotipləmə,süni mayalanma zamanı implantasiyadan əvvəlki diaqnostika,kök hüceyrə terapiyası prosesində uyğunluq,gen terapiyası müalicəsində əsas alət olaraq istifadə edilir.Oksigen Klinikasında genetik bölüm tibbin bütün sahələrini əhatə etməklə, mərhələ-mərhələ,mövcud olan genetik metodları tətbiq edir.Bu metodlarla keçirilən analizlərin təqdimatını hazırlayır,profilaktika və müalicə yollarını sizə təqdim edir.
Sitogenetikaxromozom dəstinin klassik yolla tədqiqidir.Xromozomlar yüksək ayrıcılıq qabiliyyəti olan Cyto Vision programı istifadə edilərək Olympus Bx51 9(Japon)mikroskopu ilə baxılır.
Xromozon müayinələri:
Periferik qanda
Dölyanı mayedə
Dölün xorion hüceyrələrində
Toxum mayesində(spermada)aparılır və analizin nəticələri(kariotipləmə)14-25 gün ərzində başa çatdırılır.
Molekulyar sitogenetik analizlər FİSH/ q F- PCR metodu ilə aparılır və nəticələr 1-2 gün ərzində təqdim edilir.Bu metodlar vasitəsi ilə xromozomların say və struktur analizi keçirilir.
Biomaterial olaraq:
Periferik qan
Dölyanı maye
Sperm(FİSH,TUNEL),
Bu metod daha çox prenatal diaqnostikada və süni mayalanma zamanı (PGD)istifadə edilir.
Molekular diaqnostika
PCR metodu ilə aparılır.Hal-hazırda Oksigen Klinikasında fəaliyyət göstərən tam avtomatik yolla işləyən COBAS Amplipre/ Light Cycler 480II Roche cihazları virus və bakteriyaların 99,8% həssaslıq və spesifikliklə aşkara çıxarır,həm də onların genotipləmə, kəmiyyət, keyfiyyət və dərman preparatlarına həssaslıq kimi vacib parametrlərini aşkar etməyə imkan verir.
Analiz olunan virus və bakterialar:
Chlamydia trachomatis (Xlamidiya)
Neisseria gonorrhoeae(Gonorreya)
HCV aşkar edilməsi və monitoring(Hepatit C)
HBV monitoring (Hepatit B)
Cytomegalovirus(CMV)
Dermatophytes(Dəri paneli)
Gastroenteritis (Mədə bağırsaq paneli)
Stool Parasites(Bağırsaq parazitləri)
Respiratory Pathogens(Tənəffüs Paneli)
Urogenital paneli
Vaginal paneli
Genetik risk qrupuna daxil olan şəxslər
Qohum nigahlar
Sonsuz ailələr(kişi və qadın sonsuzluğu)
Yaşı 35-dən yuxarı olan hamilə qadınlar
Hamiləlik dövründə adəti düşükləri olmuş qadınlar
İrsi xəstəliklərin homo və hetorozigot daşıyıcıları
Nəsillərində anadangəlmə inkişaf qüsuru ilə diri və ya ölü doğulmuş uşaq olan ailələr
Hamillik dövründə və ya döl doğulandan sonakı təqribən 6 həftəlik dövrdə döl və ya yeni doğulan körpə ölümü olan ailələr
Fiziki və əqli inkişaf qüsuru olan şəxslər
Xarici və daxili cinsiyyət üzvlərində qüsuru olan şəxslər
Yaxın qohumlarında
Hematoloji
Ürək/ damar sistemi
Onkoloji
Endokrinoloji
Uroloji
Psixi /nevroloji
Tənəffüs sistemi problemləri
Anadangəlmə lal,kar və korluq olan ailələr
Fibro test
Labaratoriya testlərindən biridir ki,buda qaraciyərin xroniki xəstəliklərinin intensivliyini təyin edir.
Fibro test paneli Fibro testi hansı xəstəlik zamanı təyin etmək olur?
1.Artıq çəki zamanı
2.Alkaqol qəbulu
3.Piylənmə ilə bağlı olan problemlər
4.Hipertoniya
5.Şəkərli diabet
6.Hepatit B
7.Hepatit C
8.Dərman preparatlarına asılılıq
Əvvəllər qaraciyərin biopsiyasından istifadə olunurdusa hal-hazırki zamanda Fibro test vasitəsi ilə dəqiq və tez zamanda capıq izləri olmadan qan analizi vasitəsi ilə həyata keçirilir.24-48 saat ərzində cavab verilə bilir.
Fibro test testləri sayəsində qaraciyəri alınan zədələrdən qorumaq, yaranan pozuntuları aradan qaldırmaq üçün,həkimlərə müalicə prosesini tezləşdirmək,nəticələri dəqiqləşdirmək üçün yaxşı vasitədir.
Fibro test və Marks TM test sayələrində qaraciyərin xroniki xəstəlikləri zamanı çox hallarda xəstəliyin müddəti qısalır.Bu xəstəliklər zamanı təklif etdiyimiz analizlərlə effektiv müalicələrin tətbiq olunması mümkündür.
Xəstəlik zamanı Fibro test TM və Maks TM həkimlərə düzgün diaqnoz qoymaq və xəstə üçün effektiv müalicə metodu tətbiq etməklə kömək edir.
Fibro Test TMvə Marks TM testlərinin sayəsində həkimlər xəstələrinə düzgün məsləhətlər və müalicə təyin edə bilirlər.

